뇌출혈, 뇌내출혈원인(고혈압), 초기증상(두통, 현흥, 오심, 구토, 의식소실), 검사(뇌CT, 뇌MRI), 치료/피각출혈, 시상출혈, 뇌간출혈, 소뇌출혈..

뇌출혈 중에서 뇌출혈의 원인, 초기 증상, 검사에 대해 알아봅시다.초기 증상으로는 두통, 현훈, 오심, 구토, 의식 소실이 나타날 수 있으며 뇌내출혈은 출혈 부위에 따라 피각출혈, 시상출혈, 뇌간출혈, 소뇌출혈 등으로 구분합니다.그리고 뇌출혈로 인한 마비성 복시, 사시 환자의 치료 전후 사진도 함께 소개해 드리겠습니다.

뇌출혈 분류 뇌출혈 경막하출혈 지주막하출혈 뇌출혈은 출혈이 일어나는 부위에 따라 위 표와 같이 분류하고, 경막과 지주막은 뇌를 감싸고 있는 특정 층막입니다.

뇌수막(경질막, 거미막, 연질막)과 뇌실질뇌는 두개골에 부착되어 있는 경막(경질막), 그 안쪽에 표면장력으로 부착되어 있는 거미막, 그리고 뇌실질을 덮는 연질막으로 감싸져 있습니다.경막 아래(경질막~거미막)에 출혈하는 경우를 경막하출혈, 지주막하(거미막~연질막)에서 출혈하는 경우를 거미막하출혈, 연질막 아래 뇌실질에서 출혈하면 뇌내출혈이라고 합니다.이번 포스팅은 뇌출혈에 관한 내용입니다.

뇌출혈의 원인, 부위, 증상1) 뇌출혈의 원인

뇌출혈의 기저질환으로 고혈압이 가장 중요합니다.높은 압력이 혈관벽에 계속 가해지면 뇌 내 세동맥 혈관이 괴사하면서 미세동맥류가 되고 이것이 파열돼 뇌내 출혈을 유발하게 됩니다.이외에도 머리 외상, 출혈성 질환(혈우병, 백혈병, 혈소판 감소증 등), 뇌종양이 원인으로 작용합니다.

2) 뇌내출혈부위빈도뇌내출혈부위출혈(동맥)위치50%피각(기저핵)출혈중대뇌동맥선조체분지30%시상출혈중대뇌동맥선조체분지10%교뇌(뇌간)출혈뇌기저동맥교뇌분지10%소뇌출혈소뇌동맥피질분지지수%피질하출혈대뇌동맥피질분지

피각(기저핵의 일부)과 시상

뇌간(중뇌, 교뇌, 연수)과 소뇌 출혈이 호발하는 부위는 미세동맥류가 생기기 쉬운 곳으로 주로 관통동맥이 있는 부위입니다.고혈압성 뇌출혈의 빈도와 해당하는 관통 동맥의 위치는 위 표, 그림과 같습니다.

3) 뇌출혈 증상, 검사 뇌출혈에서는 출혈된 혈액이 굳어져 생긴 혈종이 뇌의 실질을 직접 파괴합니다.그리고 뇌부종이나 순환장애로 인한 2차적인 뇌손상이 계속됩니다.미세동맥류는 한 곳만 파괴돼도 넓은 범위에 걸쳐 장애를 입기 때문에 뇌경색처럼 국소적으로 증상이 나타나지 않습니다.

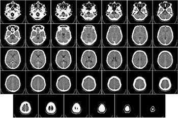
뇌출혈의 뇌 CT 영상

뇌출혈의 뇌 MRI 영상 뇌출혈은 뇌 CT, 뇌 MRI 검사로 부위와 출혈량 등을 확인할 수 있습니다.뇌출혈의 초기 증상으로 두통, 어지럼증(어지럼증), 오심(구역질), 구토가 나타나는데, 식체 증상과 유사하게 구별이 어려운 경우도 있고 심하면 의식 소실, 간질 발작을 동반합니다.

피각출혈의식의 소실, 심한 반신마비, 안구편위 등 시상출혈 점진적 반신부전마비, 감각장애, 눈증상 등교뇌출혈두통, 의식저하, 운동실조, 안면마비, 복시 등 소뇌출혈운동의 실조, 두통, 오심, 구토, 평형장애 등 피질하출혈 위치, 정도에 따라 증상이 다른 출혈 부위에 따른 증상은 대체로 위 표와 같으며, 교뇌를 포함한 뇌간출혈에서는 얼굴, 눈 등에서 가는 3번~7번째 소뇌운동실조증, 안면마비, 안면장애를 동반한 복막하출혈 부위에 의한 증상이뇌출혈로 의식장애, 구토를 동반하면 응급처치가 필요합니다.

경희미의원에 내원한 마비성 복시, 사시 환자 중 3번 뇌신경마비를 동반한 뇌간출혈 환자의 치료 전후 사진, 동영상을 소개합니다.

뇌간출혈 복시치료 전후 사진 66세 남성, 고혈압 당뇨 현 병력 MRI 상 뇌간출혈, 우안3번 뇌신경마비, 내전장애 15주 치료기간(한약복용)

환자의 MRI 영상

우안 내전 장애

경희한방병원 출신 조재훈 한의학박사 진료치료 전후 사진 확인↓↓

error: Content is protected !!