
정의 스티븐 존슨 증후군(SJS)은 점막 피부안 증후군입니다.중증형 삼출형 다형 홍반이 입술이나 안결막, 성기부 등의 점막에 병변이 나타납니다. 중독성 표피괴사융해증(toxicepidermalnecrolysis:TEN)은 전신에 광범위한 붉은 반점과 수포, 밀란을 동반한 중증 피부질환으로 병리조직학적 소견으로 표피의 괴사성 변화를 특징으로 합니다.심한 형태의 다형 홍반과 임상 및 병리 조직학적 소견에서 공통점이 있기 때문에 두 질환이 동일 질환군에 해당하는데 논란이 있습니다.
원인두질환 사망률이 높고 원인은 약제가 대부분이지만 청년 SJS는 미코플라즈마 등의 감염병이 주요 원인입니다.TEN은 SJS에서 진전하거나 이행에 달려 있습니다.sulfonamides, 항경련제, 비설폰아미드계 항생제, 항진균제 등이 원인 약재로 보고되고 있습니다.발생기전은 확실하지 않으며 표피독성 제거 시스템의 이상으로 비정상적인 약물대사가 유발됩니다. 따라서 각질 형성 세포에 독성으로 작용하거나 항원의 특성을 변형시킬 수 있습니다. 그 밖에 약물 또는 대사물이 각질 형성 세포를 표적으로 세포 독성 면역 반응의 방아쇠가 됩니다. 후천성 면역결핍 환자의 중독성 표피괴사융해증 발생률이 높습니다.
병태 생리

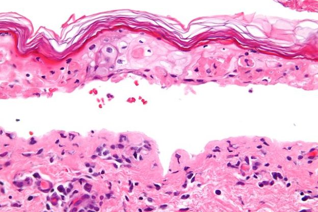
병리조직학적 소견에서 TEN과 SJS는 표피의 염증성 세포 침윤을 동반하고 표피 기저층 또는 표피 전층에 호산성 괴사가 나타납니다. 면역조직화학염색상 각질형성세포의 MHC클래스2항원(HLA-DR) 발현과 세포유착분자(ICAM-1) 발현, 표피랑겔한스세포의 현저한 감소 및 소실, 표피의 CD8+세포침윤, 진피에 CD4+세포침윤이 따릅니다. 이러한 소견은 세포독성 T세포에 의한 이식편대 숙주 조직반응과 비슷합니다. TEN은 각질형성세포와 Fas리간드(FASL) 발현이나 세포고사, 수포 내 TNF-알파가 증가하므로 각질형성세포의 세포고사 및 TNF-알파에 의한 조직손상이 유발됩니다.
임상 양상

일부 환자(SJS, 10~30%)는 1~14일간 지속되는 전구증상(고열 폐렴, 설사, 복통, 피로) 후에 대칭적인 병변이 발생합니다.
- SJS

전신에 분포하는 원형~타원형 홍반성 구진, 수포, 밀란, 자반을 형성합니다.점막이 병변의 특징이며 입술 출혈성 밀란, 가피, 구내염, 안결막 충혈, 괴사성 장애, 위막 형성, 비인후염, 외음부 및 항문 피부 점막 이행부에 밀란 및 발열 및 관절통을 동반합니다. 병변은 3~4주 후에 소실됩니다.
- TEN

초기부터 TEN에서 발생하는 형태와 다형 홍반이 다발하여 TEN에서 진행하는 형태가 있습니다.전자는 통증과 작열감을 동반하는 미만성 붉은 반점이 급격히 출현하여 수포 및 알을 형성합니다.입술이나 결막에 점막염이 발생하지만 그렇지 않은 경우도 있습니다. 후자는 다발성 부종성 홍반이 융합되면 점막진이 동반되며 전신에 수포, 달걀을 형성해 SJS에서 TEN으로 이행하는 형태입니다.두 형태는 고열을 동반하고 Nikolsky 징후(피부를 마찰하면 표피박리나 수포를 일으키는 현상)는 양성입니다.재상피화 후 피부의 색소 침착 및 탈루, 손톱 변형, 각막 혼탁에 의한 시력 저하, 누관 폐색에 의한 안구 건조 및 교반, 유착에 의한 포경 및 배뇨 장애 등을 초래할 수 있습니다.병변은 과·저색소 침착 또는 흉터가 생길 수 있으며 피부 외에 소화기, 호흡기를 침범하여 백혈구증다증, crp증가, 간기능장애를 유발합니다.여러 장기에 장애가 생기면 간질성 폐렴, 신장 기능 장애, 소화관의 흐트러짐과 궤양으로 인한 출혈, 조혈기관 장애로 인한 혈구 감소, 파종성 혈관내 응고증후군(DIC) 등을 유발할 수 있습니다.
평가 원인 약제를 구명하기 위한 검사에는 피부 반응, 약제 유발성 림프구 자극 시험(DLST), 재투여 시험이 있습니다.유발시험은 위험성이 있으므로 시행하지 않으며 피부시험으로 부착검사, 피내검사를 하지만 경피흡수 및 대사 등으로 인한 위음성이나 자극에 의한 위양성이 나타날 수 있습니다.피내 검사는 증상을 유발할 수 있으므로 약진의 피내 검사는 저농도로 시작하는 것이 안전합니다.DLST는 18% 이상의 반응이 나타나면 양성으로 판정합니다. 대부분 160% 내외의 값을 나타내고 180%의 반응을 보이면 반드시 원인 약물로 간주되지 않습니다. 또한 일시적으로 DSLT가 양성으로 나타날 수 있으므로 음성 반응이 있으면 재검사가 필요합니다.발열이나 감기 증상 등이 선행되거나 감염병이 의심되는 경우 항체값 측정 및 pcr에 의한 바이러스 재활성화 여부를 살펴봐야 합니다.
감별 진단

병리 조직학적 검사에서는 다양한 정도의 표피괴사가 동반됩니다.진피와 표피의 경계부에서 공포와 융합에 의해 열을 형성하고 이후 표피하소포가 형성되면서 여러 정도의 염증세포(대부분 림프구)가 침윤하고 유두진피에 호산구의 침윤이 나타납니다.수포성 유선포창, 반흔성 유선포창, 포진성 피부염, 심상성 천포창, 종양관련성 천공창, 혈관염, 베체트병, sweet증후군, 포도상구균성 열상피부증후군, 포진성 치육구내염, 급성이식 편대숙주반응과 감별해야 합니다.
-TEN과 SJS의 분류
TEN과 SJS의 관계에 있어 정설은 없습니다. 그러나 피부 점막 이행부 병변의 유무, 물집, 밀란의 정도, Nicolsky 징후 등을 감별점으로 내세우고 있습니다. 그러나 SJS에서 TEN으로 나아갈 수 있다는 점, 병리조직학적 소견으로 구분할 수 없는 점, 비전형적인 표적형 붉은 반점이 SJS 및 SJS에서 이행한 TEN의 경우에도 발생하기 때문에 양측의 병변은 본질적인 차이가 없다는 주장도 있습니다.
치료
입원 치료가 필수이고 다른 곳과의 협조가 필요합니다.TEN의 광범위한 물집형성 및 표피박리는 피부의 무균적 보호를 목적으로 한 치료 및 전해질 보정 및 저단백혈증 교정, 즉 화상에 준하는 관리가 필요합니다. 피부박리면은 생리식염수 등으로 세척하고 아즈놀 연고와 게벤로션이 함유된 거즈를 사용하여 전신상태 호전이 나타나면 가능한 한 조기에 샤워나 목욕을 합니다. 박리면을 청결하게 유지하는 것은 MRSA나 녹농균 등의 감염을 막고 괴사조직의 제거와 혈액순환 개선은 재상피화를 촉진합니다. SJS사 TEN은 의심되는 원인 약제를 중지하면 증상이 호전됩니다.세균의 2차 감염을 수반하는 병변은 항생제나 게반연고 등을 도포하고, 눈병변 치료는 시력장애 등의 후유증을 예방할 수 있으며, 항생제나 스테로이드제의 점안을 시행하여 위막 형성이 나타나면 안과의사에 의한 치료가 필요합니다.왜냐하면 시력 손실이나 실명을 초래할 수 있기 때문입니다. 점막부위(기도, 식도, 요도, 항문) 후유증은 드물며 입술 병변은 구강세정제, 바셀린을 도포하고 통증이 심한 경우 진통제를 투여합니다.
- 스테로이드 사용에 대한 찬반론이 있습니다. 스테로이드의 장기간 투여가 감염병 유발 및 재상피화 지연을 초래하는 것이 주된 반대 이유에 해당합니다. 진행되는 병변은 스테로이드 대량 투여(성인 용량, 베타 메타존 8~12mg/day, dehydrocortisol 80~120mg/day), 펄스 요법(호박산 methylprednisolone 15~30mg/day)이 유효합니다. 진행이 멈추면 신속하게 감량하는 것이 바람직합니다.
- – 감마-글로불린의 대량 투여는 자가면역성 질환에 유효합니다. 중증 약진에 대해 1998년 viard 등이 TEN에서 글로불린 대량 투여의 유용성을 보고한 이후 주목받고 있습니다. 투여법은 0.4g/kg/day에서 5일 연속 또는 1g/kg/day로 2일간 정맥주사를 실시합니다. 글로불린의 작용 기전은 항Fas 항체에 의한 Fas-FasL 결합이 저하되므로 세포 고사를 억제합니다.
- – Cyclosporine 시클로스포린을 이용한 TEN의 치료가 시도되고 있으나 효과는 일정하지 않습니다. 스테로이드 효과가 불충분한 경우에 시클로스포린 3~5mg/kg/day 병용요법을 실시할 수 있습니다.작용 기전은 바이러스나 단핵구의 TNF-알파 생성 억제, T세포 활성화 저해, Fas 및 FasL 발현 억제에 의한 각질 형성 세포의 세포 고사를 방해합니다.
- – 혈장 분리 반출법 혈장 분리 반출법은 대형 수포가 생기는 수포성 병변, 전신성 홍반성 루푸스, 피부근염 등의 자가 항체가 관여하는 질환에 효과가 있습니다.스테로이드에 반응이 없거나 사용할 수 없는 TEN 병변은 혈장 교환 또는 이중 여과법을 통해 80%의 치료율을 보였습니다. 약제 대사물의 제거, 가용성 FasL의 제거, 혈중 사이토카인의 저하 등의 메커니즘과 관련되어 있습니다.
- – 기타 Pentoxifylline (12g/kg/day), 혈액투석, cyclophosphamide, G-CSF, N-acetylcysteine을 사용합니다.
지금까지 인천 흥광명 부천 스티븐 존슨 증후군 전문병원 하늘마음한의원 윤모 원장이었습니다. 감사합니다。경기도 부천시 상동로 83 그랜드플라자 8층